Po owulacji, na badaniu ultrasonograficznym (USG), można zaobserwować charakterystyczne zmiany w jajnikach oraz otoczeniu macicy. W ciągu pierwszej godziny po owulacji powstaje ciałko krwotoczne, które jest widoczne jako mały, nieregularny pęcherzyk. Z czasem przekształca się ono w ciałko żółte, które odgrywa kluczową rolę w cyklu miesiączkowym oraz w przypadku zapłodnienia.
W dalszej części artykułu omówimy, co dokładnie można zobaczyć na USG po owulacji, jakie zmiany zachodzą w jajnikach oraz jakie są ich implikacje dla płodności. Zrozumienie tych procesów jest istotne dla każdej kobiety planującej ciążę lub monitorującej swój cykl miesiączkowy.
Najważniejsze informacje:
- Po owulacji pojawia się ciałko krwotoczne, które jest widoczne na USG jako mały, nieregularny pęcherzyk.
- Ciałko krwotoczne przekształca się w ciałko żółte, które ma różne cechy wizualne.
- W przypadku zapłodnienia ciałko żółte rozrasta się i staje się ciałkiem ciążowym.
- Na USG można również zaobserwować wzrost objętości wolnego płynu w Zatoce Douglasa.
- Najlepszy moment na wykrycie ciałka żółtego to 7-9 dni po owulacji.
Co widać na USG po owulacji: podstawowe zmiany w jajnikach
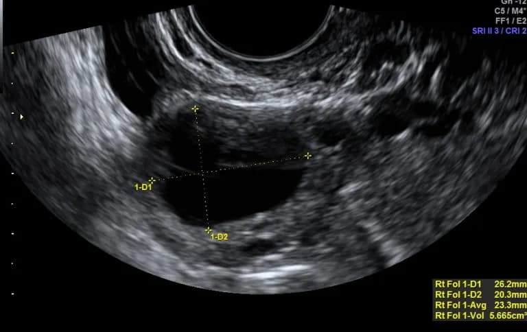
Na badaniu ultrasonograficznym (USG) po owulacji można zaobserwować ważne zmiany w jajnikach. W ciągu godziny po owulacji pojawia się ciałko krwotoczne, które jest widoczne jako mały, nieregularny pęcherzyk. Jego ściany są hiperechogeniczne, co oznacza, że są jaśniejsze w porównaniu do otaczających tkanek. Ta struktura jest wynikiem krwawienia wewnętrznego, które następuje po uwolnieniu komórki jajowej.
Następnie ciałko krwotoczne przekształca się w ciałko żółte, które jest kluczowe w cyklu miesiączkowym. Na USG ciałko żółte może mieć różne cechy wizualne, w tym przestrzeń płynową o wielkości od 1 do 2 cm lub torbiel o średnicy 3–4 cm. Jest to struktura bardzo unaczyniona, co można zobaczyć za pomocą kolorowego Dopplera, który ukazuje niski opór przepływu krwi wokół ciałka żółtego, tworząc tzw. „pierścień ognia”.
Ciałko krwotoczne: co to jest i jak wygląda na USG
Ciałko krwotoczne to struktura, która powstaje w wyniku krwawienia z pękniętego pęcherzyka jajnikowego. Na USG jest rozpoznawane jako mały, nieregularny pęcherzyk z hiperechogenicznymi ścianami. Często towarzyszą mu liczne echogeniczne zmiany, które pochodzą z zakrzepłej krwi. Obserwacja ciałka krwotocznego jest istotna, ponieważ pozwala na monitorowanie stanu jajników po owulacji.
Ciałko żółte: charakterystyka i jego rola po owulacji
Ciałko żółte odgrywa kluczową rolę w cyklu miesiączkowym, produkując hormony, które wspierają potencjalną ciążę. Na USG ciałko żółte może mieć różne cechy wizualne, w tym grubą, ząbkowaną ścianę lub torbielowate struktury. Jego obecność jest szczególnie istotna w przypadku zapłodnienia, gdyż ciałko żółte przekształca się w ciałko ciążowe, które wspiera rozwijający się zarodek. Ciałko żółte jest najlepiej widoczne na USG około 7–9 dni po owulacji.
- Ciałko krwotoczne jest pierwszym widocznym znakiem po owulacji.
- Ciałko żółte jest kluczowe dla utrzymania ciąży, jeśli dojdzie do zapłodnienia.
- Obie struktury są widoczne na USG jako charakterystyczne zmiany w jajnikach.
Jak zmienia się obraz USG w kolejnych dniach po owulacji
Po owulacji obraz na badaniu ultrasonograficznym (USG) ulega znacznym zmianom. W ciągu kilku dni po owulacji ciałko żółte rozwija się i może zmieniać swoje rozmiary oraz strukturę. Na początku jest to mała, płynna przestrzeń, ale z czasem może stać się bardziej złożona, a jej unaczynienie staje się bardziej widoczne. Te zmiany są istotne dla monitorowania zdrowia jajników oraz ewentualnych problemów.
W ciągu kolejnych dni po owulacji można również zauważyć wzrost objętości płynu w Zatoce Douglasa. To zjawisko jest często związane z procesami zachodzącymi w jajnikach i może być istotnym wskaźnikiem dla lekarzy. Obserwacja tych zmian na USG jest kluczowa dla zrozumienia, jak ciało reaguje po owulacji i jakie są dalsze kroki w monitorowaniu zdrowia pacjentki.
Zmiany w objętości płynu w Zatoce Douglasa po owulacji
Po owulacji, w Zatoce Douglasa, czyli zagłębieniu za macicą, można zauważyć wzrost objętości płynu. Zjawisko to często występuje w odpowiedzi na reakcje organizmu na owulację. Płyn ten może pochodzić z jajnika i jest wynikiem krwawienia, które towarzyszy pęknięciu pęcherzyka jajnikowego. Na USG płyn ten jest widoczny jako jasna przestrzeń, co może sugerować, że procesy zachodzące w jajnikach są normalne.
Wpływ zapłodnienia na wygląd ciałka żółtego w USG
Jeśli dojdzie do zapłodnienia, ciałko żółte ulega dalszym zmianom. Po zapłodnieniu staje się bardziej rozwinięte i może zwiększać swoje wymiary. Na USG ciałko żółte staje się bardziej unaczynione, co jest widoczne jako intensywniejszy przepływ krwi wokół tej struktury. Te zmiany są istotne, ponieważ ciałko żółte odgrywa kluczową rolę w utrzymaniu ciąży, produkując hormony niezbędne do wsparcia rozwijającego się zarodka.
| Dzień po owulacji | Opis na USG |
| 1-2 dni | Ciałko krwotoczne, mały pęcherzyk |
| 3-4 dni | Ciałko żółte, widoczne unaczynienie |
| 5-6 dni | Wzrost objętości ciałka żółtego |
| 7-9 dni | Najlepszy moment na wykrycie ciałka żółtego |
Czytaj więcej: Miesiączka co 20 dni: co to oznacza i kiedy szukać pomocy?
Znaczenie wyników USG po owulacji dla płodności i ciąży
Wyniki badania ultrasonograficznego (USG) po owulacji mają kluczowe znaczenie dla oceny płodności oraz monitorowania ciąży. Interpretacja tych wyników pozwala lekarzom zrozumieć, jak organizm reaguje po owulacji i jakie zmiany zachodzą w jajnikach. Na przykład, obecność ciałka żółtego na USG może wskazywać na prawidłowy przebieg cyklu miesiączkowego, a jego rozwój może sugerować, że zapłodnienie miało miejsce. Zmiany w objętości płynu w Zatoce Douglasa również mogą dostarczyć istotnych informacji na temat zdrowia pacjentki.
Oprócz tego, nieprawidłowe wyniki mogą sugerować potencjalne problemy zdrowotne, takie jak torbiele jajników czy inne nieprawidłowości. Dlatego ważne jest, aby pacjentki były świadome, co oznaczają wyniki ich USG i jak mogą one wpłynąć na ich zdrowie oraz plany dotyczące ciąży. Współpraca z lekarzem w celu omówienia wyników jest kluczowa, aby zapewnić odpowiednią opiekę medyczną.
Jak interpretować wyniki USG w kontekście cyklu miesiączkowego
Interpretacja wyników USG w kontekście cyklu miesiączkowego jest istotna dla zrozumienia płodności. Wyniki te mogą wskazywać na różne etapy cyklu, takie jak owulacja czy faza lutealna. Na przykład, obecność ciałka żółtego na USG kilka dni po owulacji jest oznaką, że organizm przygotowuje się na ewentualną ciążę. Zrozumienie, jak wyniki USG wpisują się w cykl miesiączkowy, pozwala kobietom lepiej monitorować swoje zdrowie reprodukcyjne i podejmować świadome decyzje dotyczące planowania rodziny.Potencjalne problemy zdrowotne widoczne na USG po owulacji
Na badaniu ultrasonograficznym (USG) po owulacji można zidentyfikować różne potencjalne problemy zdrowotne, które mogą wpływać na zdrowie reprodukcyjne. Jednym z najczęstszych jest obecność torbieli jajników, które mogą występować w wyniku nieprawidłowego funkcjonowania ciałka żółtego. Torbiele te mogą być bezobjawowe, ale w niektórych przypadkach mogą powodować ból lub dyskomfort. Ponadto, USG może ujawnić nieprawidłowości strukturalne, takie jak polipy czy mięśniaki macicy, które również mogą wpływać na płodność.
Inne problemy zdrowotne, które mogą być widoczne na USG po owulacji, to zmiany w objętości płynu w Zatoce Douglasa, które mogą wskazywać na procesy zapalne lub infekcje. Takie zmiany mogą wymagać dalszej diagnostyki i leczenia. Warto, aby pacjentki były świadome tych potencjalnych zagrożeń i regularnie konsultowały wyniki USG z lekarzem, aby zapewnić odpowiednią opiekę medyczną.
Jak wykorzystać wyniki USG do monitorowania cyklu i zdrowia
Wyniki badania ultrasonograficznego po owulacji mogą być nie tylko narzędziem diagnostycznym, ale także cennym źródłem informacji do monitorowania cyklu miesiączkowego i zdrowia reprodukcyjnego. Kobiety, które regularnie wykonują USG, mogą lepiej zrozumieć swoje cykle, co może pomóc w identyfikacji wszelkich nieprawidłowości. Na przykład, jeśli USG pokazuje, że ciałko żółte nie rozwija się prawidłowo, może to być sygnałem do dalszej diagnostyki hormonalnej.
Przyszłe technologie, takie jak mobilne aplikacje zdrowotne, mogą zintegrować wyniki USG z danymi o cyklu miesiączkowym, co pozwoli na bardziej spersonalizowane podejście do zdrowia reprodukcyjnego. Użytkownicy mogą śledzić zmiany w objętości płynu w Zatoce Douglasa oraz inne istotne parametry, co może prowadzić do wcześniejszego wykrywania potencjalnych problemów zdrowotnych. Takie innowacje mogą zrewolucjonizować sposób, w jaki kobiety monitorują swoje zdrowie i podejmują decyzje dotyczące planowania rodziny.






